|
January 2008
Dr Gerhard Steenkamp
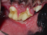
A 6 year-old Cocker Spaniel is presented with halitosis and inappetence, 3months after he
had a professional scale and polish procedure done at your practice. On physical examination
there is lymphadenopathy of the regional lymphnodes and the dog is very painful when you touch his
mouth. A conscious oral examination is impossible. You aneasthetise the animal and see
the following (photo). The ulcerative lesions correspond to the maxillary teeth present in
that area. Apart from the buccal mucosa, the lateral lingual mucosa is also inflamed and
covered by a pseudomembrane.
a) What are your differential diagnoses for oral ulceration?
b) Apart from the obvious ulceration, what other pathology is visible in this dog?
c) How would you manage a case of ulcerative stomatitis in the dog?
Memo:
a) Uraemia, trauma (chewing foreign bodies), chemical burns, immune mediated diseases (eg.
Bullous pemphigoid), neoplasia, periodontal disease.
b) Gingivitis, plaque accumulation (very little calculus present).
c) Ulcerative stomatitis presents in certain breeds like Maltese terriers, Cocker Spaniels,
Maltese poodles and Dacshunds. The typical presentation is of a patient with very little
plaque and hardly any calculus covering the teeth. They present mainly with ulcer opposite
certain maxillary teeth, like the canine, 4th premolar and 1st molar tooth, as well as lateral
borders of the tongue being inflamed. Sometimes they may present with severe stomatitis as
the pictures shown (Photo). The bacterial cultures from these patients show a mixed
population of aerobes and anaerobes without any particular bacteria predominating. These
cases, as with cats with chronic inflammatory mouths, represent an immunopathy with secondary
bacterial infection. Treatment is aimed at reducing the clinical symptoms and making the
patient comfortable. Steroidal anti-inflammatory drugs in combination with broad spectrum
antibiotics give the best short term improvement. The author usually extracts all teeth
corresponding to buccal mucosal ulceration. This may arrest the condition in some
individuals, however should the signs persist a full mouth extraction is advised.
 |
|
|