Perioral Radiographic Anatomy
Dog

  
December 2009
Dr Gerhard Steenkamp

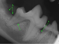
You decide to upgrade your dental suite to incorporate the making of dental radiographs.  The first image you do is that of a dog with periodontal disease of its right mandibular molar tooth.

 Perioral Radiographic Anatomy Dec 2009-01  

 

a. Which radiographic view was used to make this image?


b. Identify the following anatomical structures: enamel, dentin, periodontal ligament space, lamina dura of the alveolar bone, cemento-enamel junction, rootcanal system, mandibular canal and mandibular cortical bone (ventral cortex).


c. Identify the following pathology: vertical bone resorption, horizontal bone resorption, loss of periodontal ligament space.

Memo

a. An intra-oral parallel view.  The film is inserted into the dogs mouth and pushed ventrally into the intermandibular space, with the film facing the mandible.  The radiographic beam is at a perpendicular angle to the film and the tooth.  This is the only place in the dog’s mouth where a true parallel technique can be used.

b

Abbreviation 

Anatomy 

Abbreviation 

Anatomy 

a 

enamel 

e 

cemento-enamel junction 

b 

dentin 

f 

rootcanal system 

c 

periodontal ligament space 

g 

mandibular canal 

d 

lamina dura 

h 

ventral cortex 



 Perioral Radiographic Anatomy Dec 2009-02  


c

Abbreviation 

Pathology 

a 

vertical bone resorption 

b 

horizontal bone resorption 

c 

loss of periodontal ligament space 

 Perioral Radiographic Anatomy Dec 2009-03  

 

   Back to top     |      Print this page   |     Bookmark this page