Osteomyelitis / Abscess or Radicular / Periapical
cyst
German Shepherd |
|
September 2010
Dr Gerhard Steenkamp
A 3-year-old German Shephard cross breed dog presented with a right mandibular swelling of 6 months
duration. The animal was treated twice before with two different antibiotics which reduced the
swelling initially, but after a while it returned. There was no history of trauma or any previous
dental work.
.jpg) .jpg)
a) Give 2 differential diagnoses for this presentation.
b) What would your next diagnostic steps be in this case?
c) How would you treat this case?
Answers:
a) Osteomyelitis/abscess or radicular/ periapical cyst.
b) A thorough oral evaluation under general anaesthesia as well as radiographic survey of the skull
and affected jaw area.
.jpg) .jpg)
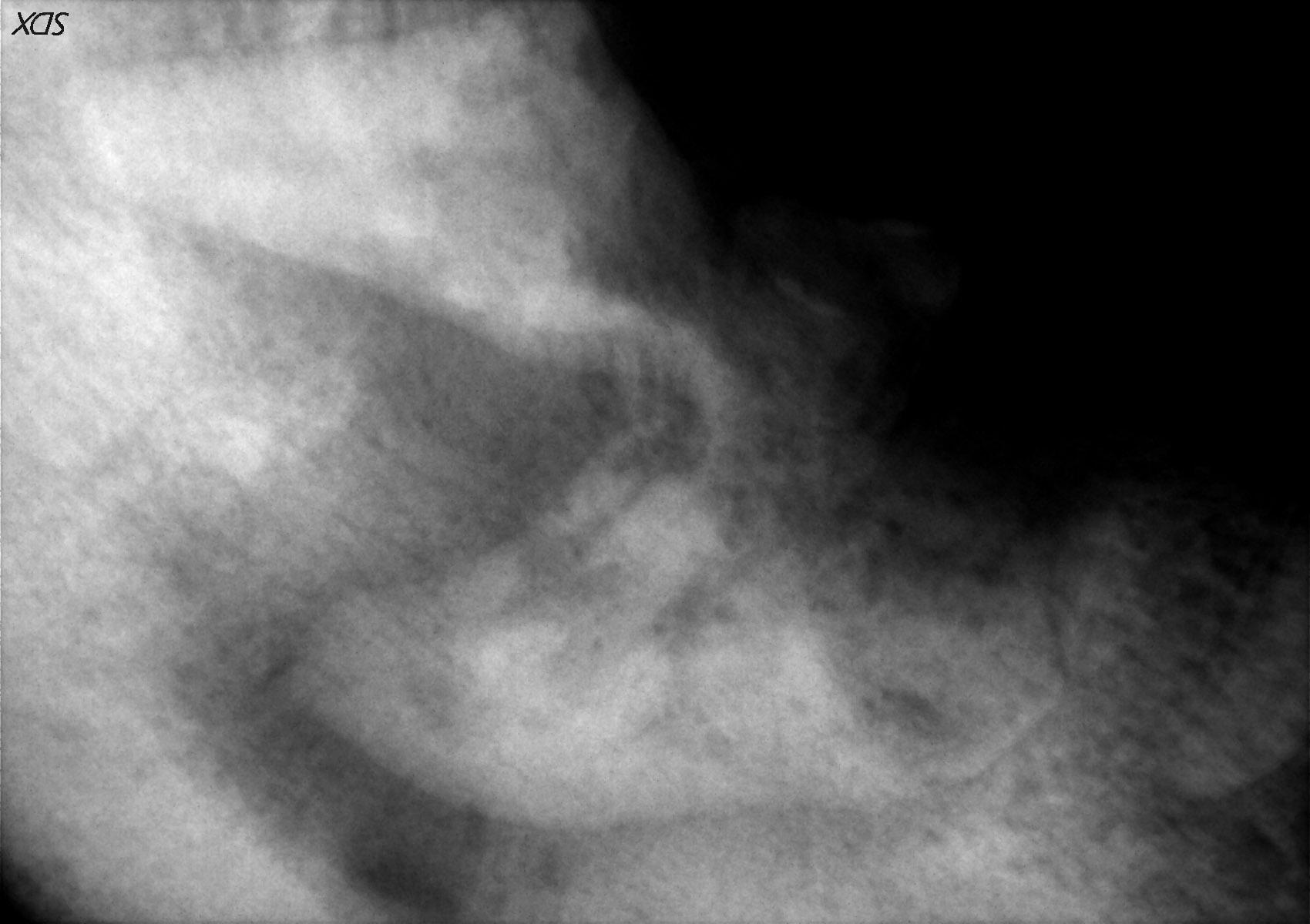
c) On clinical examination the broken tooth crown with impacted food and surrounding
inflammation could be seen (Figure). Periapical radiographs showed the presence of a fractured
tooth with the partially resorbed dental roots still present in the mandible. A large area of bone
lysis was visible around the tooth roots (Figure). The roots were surgically removed (Figure),
along with the surrounding soft tissue by curetting the cyst lining and leaving only alveolar bone.
The tissue was sent for histological evaluation. The cavity was closed by utilising a buccal mucosa
flap. Initially Amoxycillin was used as antibiotic cover, but the antibiogram revealed organisms
resistant to this antibiotic and Enrofloxacin was chosen as the organisms were sensitive to it.
The microscopic examination confirmed the diagnosis of a radicular/ periapical cyst. This results
when pulp inflammation such as in this case extends from the pulp cavity into the adjacent jaw
bone, stimulating the odontogenic epithelial rests in the periodontal ligament area with
proliferation thereof and eventual cyst formation. The epithelial lining of this cyst has to be
removed or else will result in a residual cyst, even after the affected tooth has been removed.
.jpg)
you found this page informative and useful, please click on the +1 so that you we
can let Google know as well! .. Thank you
|
|
Back to top |
Print this
page | Bookmark this page
|