Hyperdontia (Supernumerary Tooth)
Show Dog

  
December 2008
Dr Gerhard Steenkamp

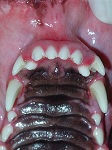
 An owner requests that you perform orthodontics on his show dog, since the maxillary incisors have gaps bilaterally, and this causes the dog to loose points in the ring.  You evaluate the mouth and see the following:

 Hyperdontia Supernumerary Tooth Dec 2008-01  

a) Describe the pathology/anomalies present.
b) What is a supernumerary tooth and how would that influence a dog’s show career?
c) What implications do supernumerary teeth have for the dog itself?
d) Should these teeth be extracted on the owner’s request?

Memo

a) There is a slight gingivitis present on the incisor and canine teeth of the maxilla (as the rest of the teeth are out of focus they are not evaluated in this photograph).

Furthermore, there are 2 increased distemas between the 2nd and 3rd incisors of both the maxillae.
Eight incisors are present instead of 6, with both the extra (supernumerary) incisors positioned palatally and rotated.

b) Supernumerary teeth are extra teeth that formed by the normal odontogenic processes.  These teeth are not retained deciduous teeth which are usually smaller in size and situated labial to the permanent teeth.  Radiography can be used to confirm the difference by also comparing root size between the incisors (deciduous tooth roots being smaller and often show signs of resorption).  Supernumerary teeth are heritable and the patient should not be bred with.

c) Supernumeray teeth are often present in more than just one are in the dogs mouth.  The abnormal positioning of these teeth may cause a traumatic malocclusion, malocclusion of the permanent teeth and an increased risk for periodontal disease.

d) Unless the teeth cause a traumatic malocclusion or have the potential to increase the risk for periodontal disease they do not need to be extracted. In the following 2 examples the supernumerary molar tooth does not need to be extracted whereas the supernumerary canines do.
 

 

 Hyperdontia Supernumerary Tooth Dec 2008-02 Hyperdontia Supernumerary Tooth Dec 2008-03 



 

   Back to top     |      Print this page   |     Bookmark this page