|
November 2011
Dr Gerhard Steenkamp
A young dog is presented with bilaterally swollen maxillae and mandibulae.
.jpg)
The owner does not have any further complaints and the dog eats as normal. The dog is an outside
dog and the owners have 2 dogs. They are unable to say if the dog is drinking as per normal or
not.
Your clinical examination is unremarkable apart from bilaterally swollen jawbones that are not
painful. When you try to open the dog’s mouth it is very reluctant to do so, but on opening the
mouth eventually you see the following lesions:
.jpg)
a What would your next diagnostic test be?
b Evaluate the radiographs supplied and give your comments
c What is your diagnosis based on the afore mentioned radiographs?
d What other tests should you perform?
a I would make radiographs of the patient, as a general overview lateral and dorsoventral skull
views.
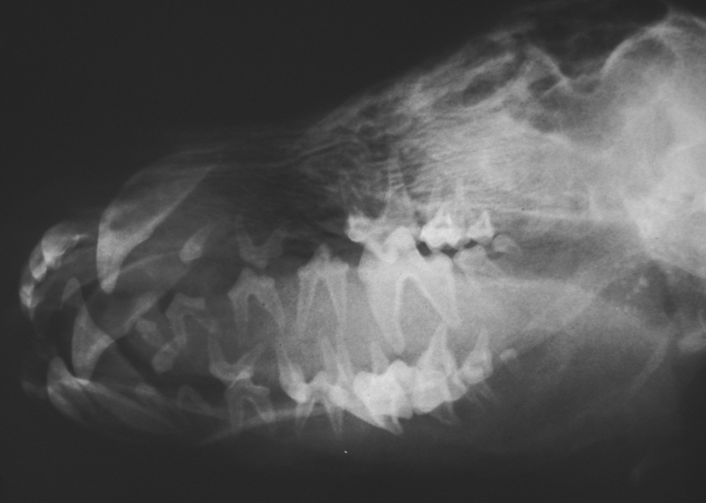
b Lateral - oblique view
.jpg)
Dorsoventral view
.jpg)
On both views the bone has a radiolucent appearance. This is homogenous and does not appear to be
lytic or have permeative lysis. All the teeth are well mineralised and gives the appearance that
they are floating in air.
c I would strongly suspect a hyperparathyroidism in this dog, possibly of renal origin, but that
will have to be confirmed. While the dog is anaesthetised for the radiographs, you can also
manipulate the jaw to feel for the rubbery consistency of it in these patients.
d A full haematology and serum chemistry panel should be done. This should include, but not be
limited to Urea, Creatinine and Serum Inorganic Phosphate. A full urinalysis should also be
performed on this patient and, if possible, the levels of parathormone should be determined.
Abdominal ultrasound as well as ultrasound of the thyroid region is indicated.
Next month I will discuss the causes of these conditions.
If you found this page informative and useful, please click on the
+1 so that you we can let Google know as well! .. Thank you
|