|
July 2010
Dr Gerhard Steenkamp
An 8 month - old puppy is brought to you for swollen gingiva, in the area where the right maxillary
3 incisors (101, 102, 103) is. The owners explain that the pup was bitten by the bitch when they
were still suckling. The deciduous 3 incisors were lost due this traumatic event. Furthermore the
owner confirms that no permanent teeth have erupted in this area
.jpg)
a Describe the lesions present in this right pre-maxilla
b What will your next diagnostic step be?
c What treatment is indicated?
Memorandum
a There is a marked swelling and congestion of the gingiva (gingivitis) in the area
where you would expect the 3 incisors of this pre-maxilla to be. The gingiva is perforated by white
hard structures resembling tooth fragments.
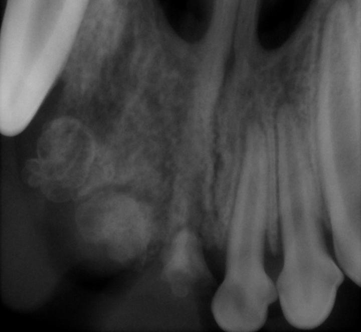
b Dental radiography is essential in any lesion where there are teeth absent. In this radiograph
radiodense structures are present in the areas of the absent incisor teeth. These possibly
represent deformed incisors of which the normal development was hampered secondary to acute trauma
to the developing tooth buds. As a result, dental hard tissue was formed haphazardly and therefore
no normal tooth structure is evident.
.jpg)
c Removal of the tooth-like material and treatment of the infection is indicated. To enable you to
do this a full length flap of the pre-maxilla on the right is created and the tooth-like structures
removed. In this case they were very easy to remove as there was no significant periodontal
ligament attachment. Due to the fact that these tooth-like structures were only partially erupted
they were still covered by gingival mucosa which resulted in a small opening for bacterial
infection into the underlying soft tissue surrounding the structures.
.jpg)
After removal and curettage the flap was closed with simple interrupted sutures, using a 5/0
monofilament absorbable material. Only peri-operative antibiotics (amoxycyllin) was administered.
Healing was uneventful with no post-operative complications.
If you found this page informative and useful, please click on the
+1 so that you we can let Google know as well! .. Thank you
|